clareamento dental

Clareamento dental em Londrina, no tom que combina com você.

Clareamento de consultório, caseiro supervisionado ou os dois combinados. Sempre com proteção de gengiva, gel na concentração certa pro seu caso e acompanhamento da sensibilidade em cada etapa.

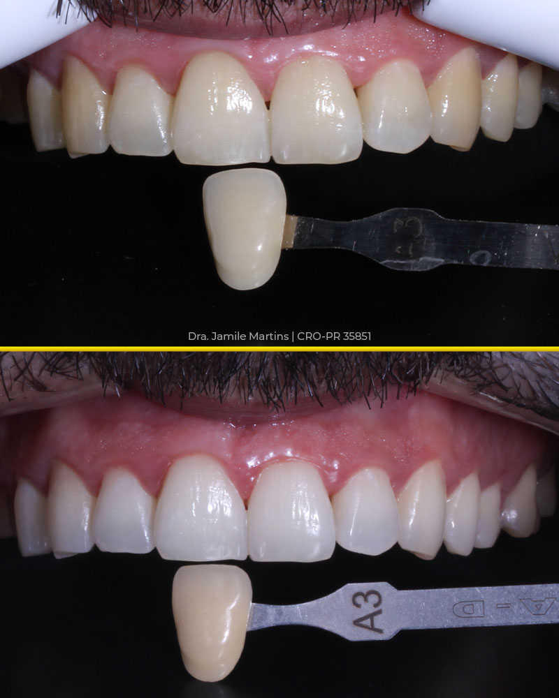
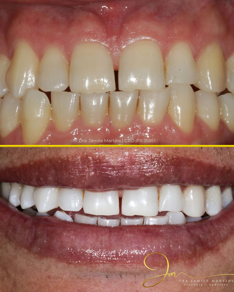
Antes e depois de clareamento dental — paciente da Dra. Jamile Martins em Londrina
sem agredir Esmalte protegido
Primeira mudançaJá na 1ª sessão
Sessões2 a 4 em consultório
Duração do efeito1 a 2 anos
o que é

Um gel que tira os pigmentos que ficaram.

Clareamento dental é um tratamento com um gel clareador que entra no esmalte e dissolve os pigmentos que foram se acumulando com o tempo. Os culpados de sempre: café, chá, vinho, cigarro.

O resultado é o seu próprio dente, só que mais claro. Não é pintura, não é tinta. Feito por dentista, com proteção da gengiva e na concentração certa, o esmalte fica preservado.

A diferença entre o clareamento profissional e aquelas fitinhas de farmácia é simples: concentração, proteção e acompanhamento. A fita não protege a gengiva, não controla a sensibilidade e usa concentração fraca demais pra fazer diferença real.

Clareamento pode ser pra você se...

  • Você acha que seus dentes ficaram mais amarelados com o tempo
  • Toma café, chá ou vinho com frequência
  • Fuma ou fumou, e percebe as manchas
  • Vai fazer facetas depois e quer o tom base mais claro
  • Tem um evento importante chegando e quer um refresh no sorriso
  • Cansou de tentar clareamento caseiro que não funciona
os tipos

Dois caminhos pro mesmo resultado.

A gente escolhe na avaliação qual combina mais com sua rotina, sua sensibilidade e seu tempo.

mais gradual

Caseiro supervisionado

Eu faço uma moldeira personalizada do seu dente e te entrego com o gel certo. Você usa em casa, uma vez por dia, por cerca de 2 semanas.

  • Você controla o ritmo
  • Menor chance de sensibilidade
  • Moldeira personalizada (não é genérica)
  • Acompanhamento semanal comigo
mais completo

Combinando os dois

Começo intensivo no consultório pra acelerar o resultado, e você continua em casa com a moldeira pra estabilizar e prolongar o tom.

  • Resultado rápido do consultório
  • Manutenção e continuidade em casa
  • Boa opção pra quem quer o melhor dos dois
  • Acompanhamento em todas as etapas
sem enrolação

Mitos que eu escuto toda semana.

Se você já pesquisou, provavelmente leu alguma dessas. Aqui vai o que é fato.

mito

"Clareamento enfraquece o dente pra sempre."

verdade

Feito por dentista, com concentração correta, o esmalte não sofre dano permanente. A sensibilidade é temporária.

mito

"Quanto mais branco, melhor."

verdade

O tom natural mais bonito pra você depende do seu tipo de pele, olhos e formato do rosto. A gente chega no tom certo, não no mais branco.

mito

"Fita de farmácia faz a mesma coisa."

verdade

A concentração é muito menor, não tem proteção de gengiva, e o formato da fita não acompanha o dente. Melhora superficial, só.

como funciona

Três passos, nada mais.

01

Avaliação e tom atual

Eu olho seus dentes, registro o tom atual na escala e a gente conversa sobre qual tom faz sentido pra você chegar.

02

Escolha do caminho

Decidimos juntas: consultório (mais rápido), caseiro supervisionado (mais gradual) ou a combinação dos dois (resultado + manutenção).

03

Sessões + manutenção

Durante o tratamento, controlamos a sensibilidade juntos. No final, combinamos a manutenção pra o tom durar mais.

Antes de começar, você vê o tom atual escrito na escala.

Isso ajuda a gente a medir o resultado de verdade no final, e não "achismo". Você sai daqui com registro do antes e do depois.

Quero minha avaliação
casos reais

Antes e depois de pacientes da clínica.

Cada caso começa com um tom registrado na escala e termina com outro. Aqui alguns casos recentes da clínica.

Caso 01 Clareamento dental antes e depois caso 01 — Dra. Jamile Martins
Caso 02 Clareamento dental antes e depois caso 02 — Dra. Jamile Martins
Caso 03 Clareamento dental antes e depois caso 03 — Dra. Jamile Martins

Todos os casos são publicados com Termo de Consentimento Livre e Esclarecido (TCLE) assinado pela paciente, conforme Resolução CFO-196/2019. Imagens de responsabilidade técnica da Dra. Jamile Martins · CRO-PR 35851.

avaliações reais · no Google

Gente que passou pela cadeira.

Trechos reais das avaliações publicadas no perfil do Google da Dra. Jamile. Você pode conferir todas no link no final.

Nota 5,0 · 35 avaliações · 100% 5 estrelas
★ ★ ★ ★ ★
Google

"Super cuidadosa e atenciosa com os detalhes. Saí da clínica feliz, sem aquela sensação de pressa."

G
GabriellyLondrina, PR
★ ★ ★ ★ ★
Google

"Atenciosa com cada detalhe do atendimento, valor justo. Recomendo muito."

C
Camila MastriLondrina, PR
★ ★ ★ ★ ★
Google

"Eu estava ansiosa, mas com ela foi muito tranquilo, sem desconforto no procedimento. E ganhei um kit limpeza muito lindinho no fim, amei."

J
JanainaLondrina, PR · Local Guide
★ ★ ★ ★ ★
Google

"Presta um trabalho com excelência e profissionalismo. Atenciosa de verdade."

T
TatianeLocal Guide · 13 avaliações
★ ★ ★ ★ ★
Google

"Ela ilumina os rostos das pessoas. Restaura a autoestima. Trata não apenas a boca, mas o coração das pessoas também."

M
MileneLondrina, PR
★ ★ ★ ★ ★
Google

"Há 2 anos eu não ia ao dentista por traumas anteriores. Sofrendo de pânico, consegui ser atendida com muita calma e carinho."

R
Regina LeiteLondrina, PR · Local Guide
★ ★ ★ ★ ★
Google

"Explica tudo com clareza e entendimento. A gente 'quase' esquece do medo de ir ao dentista."

A
Ana MorenaLondrina, PR
★ ★ ★ ★ ★
Google

"Não ficou menosprezando o estado da dentição pra cobrar mais. Desde as explicações até a execução, excelente."

M
Maria ReginaLondrina, PR
★ ★ ★ ★ ★
Google

"Incrivelmente atenciosa. Explica cada detalhe ou dúvida com bastante paciência. Honesta sobre o que você precisa."

L
Leonardo PulporLondrina, PR
★ ★ ★ ★ ★
Google

"Ambiente muito agradável, climatizado, aconchegante. Uma experiência completamente diferente do que estou acostumada."

L
LucianneLondrina, PR
Ver as 35 avaliações no Google →
Dra. Jamile Martins, cirurgiã dentista em Londrina
quem vai cuidar de você

Dra. Jamile Martins

Cirurgiã-dentista formada pela Universidade Estadual de Londrina (UEL), CRO-PR 35851. Atende em Londrina pacientes que querem melhorar o sorriso de um jeito natural, sem agressão ao dente e com planejamento antes de começar.

O trabalho é conhecido pela atenção aos detalhes, explicação passo a passo de cada etapa e pelo cuidado com pacientes que têm trauma ou medo de dentista. Não é sobre vender tratamento, é sobre resolver o que você precisa, do jeito mais acessível e reversível possível.

Foco em odontologia estética: faceta em resina, clareamento dental, restauração, limpeza e placa de bruxismo.

CRO-PR 35851 Formada pela UEL 5,0 no Google Londrina-PR
Jamile Martins
dúvidas frequentes

O que pacientes costumam perguntar.

Não. Feito por dentista, com proteção de gengiva e gel de concentração adequada, o esmalte não é danificado. O que pode acontecer é sensibilidade temporária, que a gente controla durante o tratamento.
Em consultório, de 2 a 4 sessões, dependendo do seu tom inicial e do tom que você quer chegar. No caseiro supervisionado, são cerca de 2 semanas usando a moldeira em casa, uma vez ao dia. Se a gente combinar os dois, começa com o consultório e estende em casa pra prolongar o resultado.
Pode dar, sim. É passageira. Antes e durante o tratamento eu aplico um produto pra reduzir a sensibilidade e deixar o clareamento mais confortável. Se você já tem sensibilidade alta, a gente adapta a concentração e o tempo.
Em média, 1 a 2 anos. Depende dos seus hábitos (café, vinho, chá, cigarro) e da manutenção. Uma sessão de reforço anual mantém o tom.
Sim, mas é importante saber: o clareamento só age no dente natural. Restaurações e facetas não clareiam. Por isso, primeiro a gente clareia, depois (se precisar) refazemos a restauração no tom novo pra tudo ficar harmônico.
Nos primeiros dias após cada sessão, a gente evita tudo que pigmenta muito (café preto, vinho, molho de tomate, beterraba, açaí). Você pode tomar café com leite e comer normalmente no resto do tempo.
Consegue. A proteção de gengiva que uso no consultório isola a gengiva do gel. E se a sensibilidade já for uma questão pra você, fazemos caseiro supervisionado com concentração mais baixa, ritmo mais calmo.
O valor depende do caminho escolhido (consultório, caseiro ou combinado) e da quantidade de sessões. Na consulta de avaliação, eu analiso seu caso e passo o orçamento exato por escrito, com as opções de pagamento.
agendar

Primeiro eu olho, depois a gente decide.

Na consulta de avaliação, eu meço o tom atual, a gente decide o melhor caminho pra você e você sai daqui sabendo exatamente como vai ser. Sem pressão.